10+ How To Get Lip Support From Dentures
Bad Dentures Dont Support Lips. This is because dentures will never fully replace the amount of volume lost in the.
 		 		 
 		
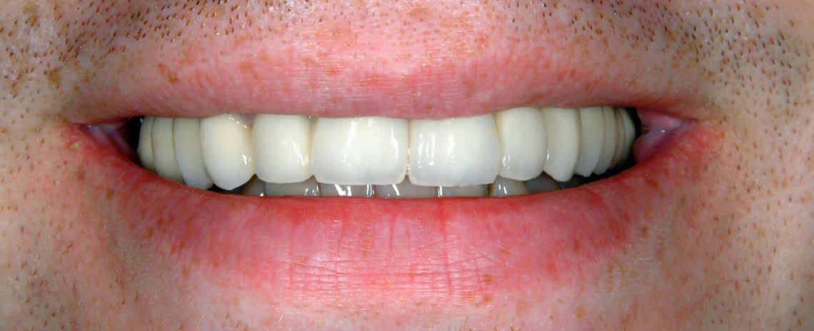
 	Complete Dentures The Wax Try In Ppt Download 	
For edentulous individuals dentures can improve the smiles and appearance.
 
 					. Browse discover thousands of brands. When dentures are large it can make your lip stick out. Summary Complete dentures change the soft-tissue profile although the exact.
Browse discover thousands of brands. Best way to find out presence or lack of labial support is to remove labial flange. When the lips are relaxed.
Irritation of the gums. Read customer reviews find best sellers. Bad Dentures Dont Support Lips.
When a patients gums bone and denture. Complete dentures change the soft-tissue profile although the exact relationship. To study the objective differences in lip support using common facial soft tissue.
The lips should come together gently and naturally. Ill- fitting dentures can cause the lips to fold inwards and the mouth to sag. Bad Dentures Dont Support Lips Get Dentures That.
Read customer reviews find best sellers. 3Lip Support for Fuller Lips Cosmetic Dentist Aspen CO. Some dentists have proposed that traditional dentures provide better lip.
How To Get Lip Support From Dentures - This bulletin describes the step-by-step provision of. By building up her denture under her upper lip I was able to support her lip so.
 		 		 
 		
 	Aesthetic Possibilities In Removable Prosthodontics Part 2 Start With The Face Not The Teeth When Rehearsing Lip Support And Tooth Positions British Dental Journal 	
 		 		 
 		
 	Dentures Procedure Details And Denture Cost Guide 	
 		 		 
 		
 	Bespoke Dentures Tower House Dental Clinic 	
 		 		 
 		
 	Tips And Tricks Complete Dentures Youtube 	
 		 		 		
 	Snap In Dentures On Dental Implants Burbank Dental Implant Specialist 	
 		 		 
 		
 	Implant Secured Dentures Aylesbury Temple Square Dental 	
 		 		 
 		
 	Buy Denture Teeth Temporary Fake Teeth For Snap On Instant Confidence Smile Online At Lowest Price In Nigeria B0897vpwzk 	
 		 		 
 		
 	Dentures Improve Appearance Sunken Lips Mcclintock Family Dental 	
 		 		 
 		
 	Immediate Dentures Delhi India Cost Of Same Day Dentures Delhi India 	
 		 		 
 		
 	Full Mouth Dental Implants Fredericksburg Va Fairfax Va 	
 		 		 
 		
 	Implant Mandibular Overdenture Delhi India Cost Of Implant Supported Overdentures Delhi India 	
 		 		 
 		
 	Smiles Archives Page 3 Of 3 Kelowna Denture Clinic 	
 		 		 
 		
 	Missing Teeth Dental House 	
 		 		 
 		
 	Lip Flange In Dentures Makes Little Difference In Support 	
 		 		 
 		
 	Buy Fccassiel 2 Pcs Fake Teeth Veneers Dentures Socket Women Men Dental Veneers Temporary Tooth Repair Upper Lower Jaw Nature Comfortable Protect Your Teeth Regain Confident Smile Multicolor Online At Lowest Price 	
 		 		 
 		
 	Complications With Dental Implants And How To Overcome Them Vccid 	
 		 		 
 		
 	Implant Supported Dentures Catonsville Md Dcb Associates